Les Mini-Vis Casablanca
Avoir un sourire parfait !
Qu'est-ce qu'une mini-vis orthodontique ?
Il s’agit d’une petite vis métallique qui est insérée à travers la gencive dans l’os de la mâchoire pour servir d’ancrage et aider à déplacer les dents mal positionnées. Certaines
personnes les appellent également micro-vis, mini-implants ou dispositifs d’ancrage temporaire (DAT).
Pourquoi ai-je besoin d'une mini-vis ?
Pour déplacer des dents mal positionnées, les autres dents environnantes fournissent
généralement un support stable pour la force appliquée par l’appareil dentaire. Il n’est pas
toujours possible d’utiliser ces dents et parfois la force peut entraîner le déplacement des mauvaises dents. Dans ce cas, une mini-vis peut être utilisée pour servir d’ancrage et vous aider à redresser vos dents et à combler les espaces.
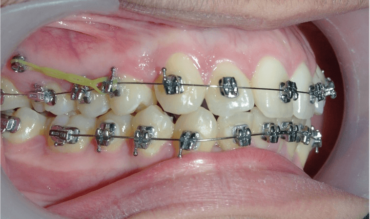
Les minivis en titane : un outil précieux pour un traitement orthodontique plus efficace et plus rapide" Regenerate
Les minivis sont de petites vis en titane qui sont insérées dans l’os de la mâchoire pour fournir une ancre stable pour les appareils d’orthodontie. J’utilise les Minivis depuis 2004, C’est devenu un outil précieux dans ma pratique orthodontique car elle permette un traitement plus efficace et plus rapide.
Mini vis : meilleure esthétique :
Meilleure esthétique : Les minivis sont souvent placées dans des zones moins visibles de la bouche, ce qui les rend plus discrètes que les Forces Extra-Orales
Facilité de placement : Les minivis sont relativement faciles à insérer, ce qui réduit le temps nécessaire pour les placer et rend le traitement plus rapide.
Les minivis sont utilisées dans une variété de situations orthodontiques pour fournir une ancre stable pour les appareils dentaires. Voici quelques-unes des indications les plus courantes pour l’utilisation de minivis en orthodontie :
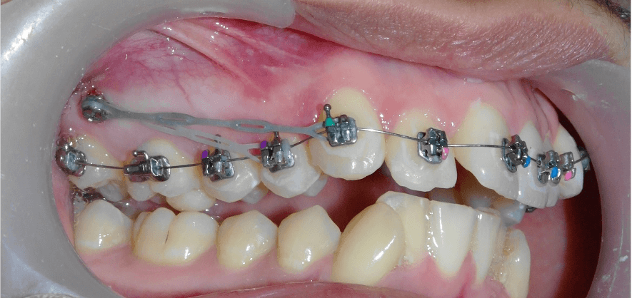
La Distalisation des Arcades Dentaires
La Correction du sourire gingivale
La Correction des Asymetries faciales
La raccourcissement des visages allongés
La Distalisation des Arcades Dentaires:
leur utilisation permet d’éviter les extractions des prémolaires en reculant l’ensemble de la denture





Comment une mini-vis sera-t-elle placée ?
Une mini-vis peut être placée à tout moment pendant le traitement par appareil dentaire.
Un anesthésique local est utilisé pour engourdir la gencive. Il peut également vous être
demandé d’utiliser un bain de bouche antibactérien.
Un trou peut être percé dans la mâchoire first pour insérer la vis ou celle-ci peut être insérée
délicatement directement dans l’os.
Vous pouvez ressentir une étrange sensation de pression lorsque la vis est insérée.
Parfois, un dispositif en plastique est utilisé comme guide pour aider à placer la vis
exactement dans la bonne position.
Un appareil peut être fixé à la mini-vis, soit immédiatement, soit lors d’une visite ultérieure,
afin de commencer à déplacer les dents.
Quels sont les risques ?
Les preuves de l’efficacité des mini-vis sont limitées, mais leur utilisation ne pose pas de problème de sécurité majeur. Les taux de réussite sont supérieurs à 80 %. La mini-vis est généralement placée entre les racines de deux dents.
La majorité d’entre elles restent stables pendant le traitement par orthèse. Les risques possibles sont ;
la vis peut toucher la racine d’une dent pendant sa mise en place. La racine devrait guérir sans problème, la vis se détache. Elle peut généralement être replacée dans la même position lors d’une visite ultérieure ou dans une position différente, 5 % des vis se cassent pendant leur insertion. Si cela se produit, l’extrémité de la mini-vis peut être laissée dans l’os, 15 à 20 % des mini-vis se rompent prématurément et doivent être remplacées ou retirées, infection – très peu probable si vous gardez la zone propre comme conseillé.
Que se passe-t-il si je ne veux pas qu'une mini-vis soit placée dans ma bouche ?
Dr Aoutnil Mounir vous expliquera les différentes façons de redresser vos dents et de combler les espaces. Les mini-vis sont souvent utilisées pour rendre votre traitement par appareil dentaire aussi efficace que possible. D’autres options peuvent impliquer le port d’un casque, l’extraction d’une dent ou l’acceptation d’espaces entre les dents. Votre orthodontiste vous conseillera sur la meilleure façon d’obtenir le résultat que vous souhaitez.
La décision finale vous appartient.
Combien de temps la mini-vis restera-t-elle dans ma bouche ?
La mini-vis reste généralement en place pendant plusieurs mois, le temps que les dents soient déplacées vers une meilleure position. Une fois le déplacement des dents terminé, les vis sont retirées.
Comment retire-t-on la mini-vis ?
Très simplement. Aucune anesthésie locale n’est généralement nécessaire. La gencive et l’os situés en dessous guérissent complètement en quelques jours, sans aucune gêne.


